▼スクロールで次の画像

無痛MRI乳がん検診の「ドゥイブス・サーチ」の受診イメージ

無痛MRI乳がん検診の「ドゥイブス・サーチ」の受診イメージ

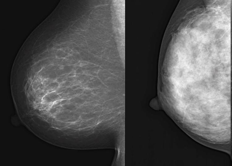
高濃度乳房(右)では、がん細胞が隠れて見えづらくなりやすい

高濃度乳房(右)では、がん細胞が隠れて見えづらくなりやすい

関連記事

トピックス

雅子さま(2025年10月28日、撮影/JMPA
【天皇陛下とトランプ大統領の会見の裏で…】一部の記者が大統領専用車『ビースト』と自撮り、アメリカ側激怒であわや外交問題 宮内庁と外務省の連携ミスを指摘する声も 
女性セブン
相次ぐクマ被害のために、映画ロケが中止に…(左/時事通信フォト、右/インスタグラムより)
《BE:FIRST脱退の三山凌輝》出演予定のクマ被害テーマ「ネトフリ」作品、“現状”を鑑みて撮影延期か…復帰作が大ピンチに
NEWSポストセブン
名古屋事件
【名古屋主婦殺害】長らく“未解決”として扱われてきた事件の大きな転機となった「丸刈り刑事」の登場 針を通すような緻密な捜査でたどり着いた「ソフトテニス部の名簿」 
女性セブン
今年の6月に不倫が報じられた錦織圭(AFP時事)
《世界ランキング急落》プロテニス・錦織圭、“下部大会”からの再出発する背景に不倫騒と選手生命の危機
NEWSポストセブン
国仲涼子が『ちゅらさん』出演当時の思い出を振り返る
国仲涼子が語る“田中好子さんの思い出”と“相撲への愛” 『ちゅらさん』母娘の絆から始まった相撲部屋通い「体があたる時の音がたまらない」
週刊ポスト
「運転免許証偽造」を謳う中国系業者たちの実態とは
《料金は1枚1万円で即発送可能》中国人観光客向け「運転免許証偽造」を謳う中国系業者に接触、本物との違いが判別できない精巧な仕上がり レンタカー業者も「見破るのは困難」
週刊ポスト
各地でクマの被害が相次いでいる(左/時事通信フォト)
《空腹でもないのに、ただただ人を襲い続けた》“モンスターベア”は捕獲して山へ帰してもまた戻ってくる…止めどない「熊害」の恐怖「顔面の半分を潰され、片目がボロり」
NEWSポストセブン
カニエの元妻で実業家のキム・カーダシアン(EPA=時事)
《金ピカパンツで空港に到着》カニエ・ウエストの妻が「ファッションを超える」アパレルブランド設立、現地報道は「元妻の“攻めすぎ下着”に勝負を挑む可能性」を示唆
NEWSポストセブン
大谷翔平と真美子さんの胸キュンワンシーンが話題に(共同通信社)
《真美子さんがウインク》大谷翔平が参加した優勝パレード、舞台裏でカメラマンが目撃していた「仲良し夫婦」のキュンキュンやりとり
NEWSポストセブン
兵庫県宝塚市で親族4人がボーガンで殺傷された事件の発生時、現場周辺は騒然とした(共同通信)
「子どもの頃は1人だった…」「嫌いなのは母」クロスボウ家族殺害の野津英滉被告(28)が心理検査で見せた“家族への執着”、被害者の弟に漏らした「悪かった」の言葉
NEWSポストセブン
イギリス出身のインフルエンサーであるボニー・ブルー(本人のインスタグラムより)
“最もクレイジーな乱倫パーティー”を予告した金髪美女インフルエンサー(26)が「卒業旅行中の18歳以上の青少年」を狙いオーストラリアに再上陸か
NEWSポストセブン
大谷翔平選手と妻・真美子さん
「娘さんの足が元気に動いていたの!」大谷翔平・真美子さんファミリーの姿をスタジアムで目撃したファンが「2人ともとても機嫌が良くて…」と明かす
NEWSポストセブン