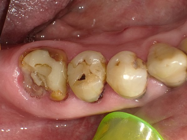
銀歯の下で虫歯が進行している
「これ、外れたヤツなんですが、もう一度奥歯に被せられますかね?」──。鈍く黒ずんだ銀歯を手にした60代の男性が7月上旬、埼玉県行田市の坂詰歯科医院を訪ねてきた。
外れた銀歯はクラウンと呼ばれる、歯にすっぽりと被せるタイプ。男性は以前、別のクリニックで治療を受けていた。坂詰和彦院長が診察すると、銀歯が外れた下あごの奥歯の土台部分は、すっかり黒ずんでいた。
「治療した後にできた『二次カリエス』と呼ばれる虫歯が広がっています。銀歯を接着するセメントが溶け出して隙間が空き、虫歯菌が入り込んでしまったのでしょう。外れた銀歯は形が合わなくなっているので使えませんが、歯は抜かずに治療できます」
その言葉を聞いて、男性から不安な表情が消えた。
「歯を抜かなきゃいけないんじゃないかと心配だったんです」──。
明海大学歯学部の客員講師を長年務めてきた坂詰院長のもとには、この男性と同様の患者が頻繁に訪れる。常に唾液に触れる下あご奥の銀歯は、特にセメントが溶け出しやすく、二次カリエスになりやすいという。
「銀歯の下で虫歯が進行していても見えないので痛みなどの自覚症状がない限り、まず気付かない。場合によっては、神経がダメになり、抜歯になってしまうケースもある」(坂詰院長)
そうなる前に、打つ手はあるのだろうか?
